Un médico se auto trató su cáncer con un nuevo tratamiento

La medicina está llena de historias asombrosas y deslumbrantes, un claro ejemplo es el caso del hombre con un árbol creciendo en su pulmón. Ahora hablaremos de otra historia la cual no solo es increíble pues puede ser la llave para salvar miles de vidas en un futuro. En un caso sin precedente alguno, un médico se auto trató su cáncer con un nuevo tratamiento que él mismo había creado. Para coronar la noticia, el nuevo método resultó ser altamente exitoso y ya no hay rastro del cáncer en su organismo.
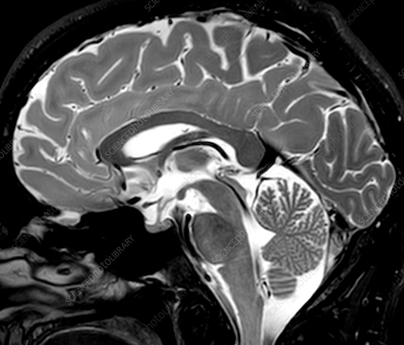
Está es la historia del patólogo australiano Richard Scolyer de 57 años, quien se podría decir que se curó a sí mismo de cáncer cerebral.

Un médico se auto trató su cáncer con procedimiento que él creó.
Hace 2 años él fue diagnosticado con tumor cerebral inoperable y básicamente lo habían sentenciado a morir. Scolyer no se quería rendir y se sometió a un nuevo tratamiento creado en base de su propia investigación y documentación científica. Lo más sorprendente es que dicha investigación era sobre melanomas, un cáncer agresivo de la piel, pero logró curar un cáncer cerebral. Obviamente siguió todos los protocolos necesarios y logró conseguir la aprobación de las autoridades de poder experimentar en humanos, siempre y cuando fueran voluntarios y se les informará que era algo experimental, como él era el paciente a tratar no hubo ningún problema.
El martes pasado (14 de Mayo 2024) él se realizó una tomografía del cerebro (imagen computarizada) y descubrió que no había ningún rastro del tumor.

Después de esté gran logró, se está buscando la forma de ampliar esté ensayo clínico y poder atender a más personas. Para eso se deben conseguir ciertos permisos adicionales, pero no será ningún riesgo pues se ha demostrado su gran efectividad, además que durante dos años de pruebas no se ha presentado ningún efecto adverso o secundario. Incluso se aclaró que es mucho menos agresivo para el cuerpo que las quimioterapias regulares.